Kinetolab

Research&Development

SCLC PDTX

THE CHALLENGE

PRIMARY METASTASIS

Primary tumors fail to capture metastatic reality. Reliance on primary-only models risks misleading efficacy outcomes.

OUR SOLUTION

A unique, matched, histologically confirmed SCLC PDTX collection of primary and metastatic tumors (e.g., liver, lymph node, brain, cerebellum, kidney) derived from the same patient.

PDTX generations preserve the histological characteristics of the original patient tumor, providing a reliable and biologically relevant model for translational research.

Translational Workflow Overview

Schematic representation of the translational cancer research workflow, illustrating the generation of matched primary and metastatic SCLC PDTX models from patient-derived tissues. Serial passaging preserves tumor heterogeneity and enables the study of clinically relevant protein expression differences between primary and metastatic disease.

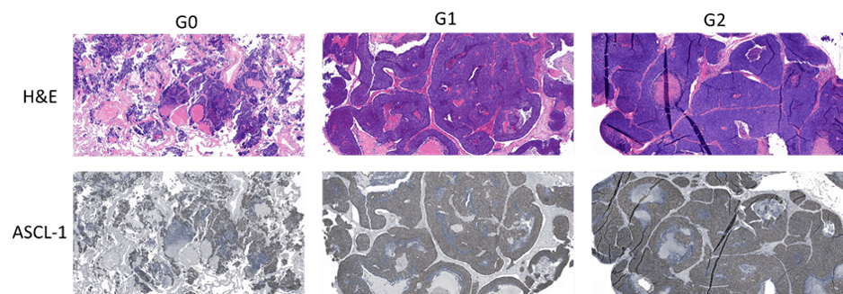
Histological Validation of SCLC-PDTX Models

Representative histological and immunohistochemical images demonstrating the preservation of tissue architecture and molecular characteristics between patient tumors and corresponding PDTX models across generations, confirming biological fidelity and model reliability.

WHY IT MATTERS

Improves translational relevance, enhances decision-making, and increases the probability of clinical trial success.

HOW IT WORKS

Connect with us — we match your drug candidate to the most relevant models in our collection, then design and execute a study tailored to your needs.

partnership

We are seeking partners interested in evaluating drug candidates using clinically relevant, matched primary and metastatic SCLC PDTX models to improve translational success.

For further details regarding SCLC-PDTX models, please contact us on in**@*******ab.hu

more KINETO Lab

R&D projects

Drug Development

Diagnostics

Antibody
Development

PDTX Models
Establishment

Target Identification

Neuroblastoma Model